【全球一半食管癌在中国,有这6种情况可能是中招了】早期浅表的食管癌症状比较轻微,主要表现为胸骨后不适感、隐痛或停留感。这些症状常被忽略。
食管癌的中晚期症状有以下几点:1. 进行性吞咽困难:就是逐渐的发展自己吞咽食物越来越困难。
2. 呕吐:食管管道部分阻塞或完全阻塞会引起患者呕吐,呕吐后还会分泌粘液,此外呕吐食物容易导致患者误吸进入呼吸道,引起肺炎,甚至有些病人肿瘤比较大,肿瘤坏死破裂后会引起呕血。
3. 胸痛:一般表现为胸背部持续隐痛,如果突发剧痛,则可能是食管肿瘤穿孔、破裂。
4. 营养不良:体重下降,脱水,时间长了导致恶病质,这也是很多恶性肿瘤的症状。
5. 侵犯周围器官:肿瘤侵犯引起咳嗽、呼吸困难,如果气管和食管相通了,会引起比较严重的问题,声嘶、咯血等。
6. 转移引起:肿瘤有可能会转移至肝、肺、脑,其中锁骨上淋巴结转移是最常见的,会出现颈部淋巴结肿大等相应症状。
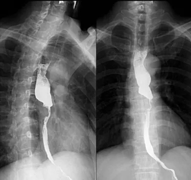
怎么检查?
吞钡检查:食管吞钡检查是很常见的检查。可以查看食管是否通畅,肿瘤的位置在哪,食管的形状是否有变化等。如图一。
内镜检查:内镜检查就是常说的胃镜,胃镜是早期食管癌筛查的重要手段。
